跳到主要內容區塊
手機選單
:::

新聞報導

    頭部外傷後意識不清嗜睡,留意水腦症造成長期神經功能受損,本院團隊手術搶救,術後恢復意識重返職場 列印
      資料更新時間:114-12-15 17:35 聯絡人:何哲安 聯絡資訊:1003261@kcg.gov.tw

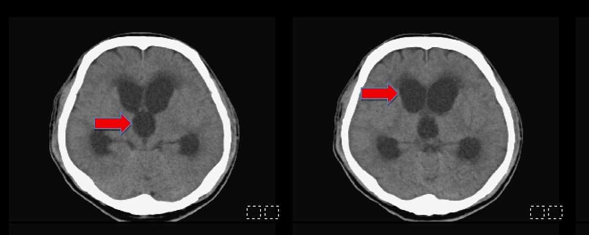
    一名48歲男子因工作頭部外傷顱內出血,就醫後接受保守治療未開刀,入住安養機構後某日被發現意識不清、嗜睡,被緊急送到高雄市立民生醫院急診室,腦部電腦斷層檢查發現腦室腫大為水腦症,緊急手術引流腦脊髓液,術後男子恢復意識,行動力改善,出院後恢復正常生活,也重返工作岡位。

    接獲這起案例的民生醫院神經外科主治醫師陳志豪指出,急診緊急通知照會會診時,詢問其病史發現患者是油漆工,因頭部外傷於外院住院,但當時未手術,採保守治療,但在家屬因照顧問題送至安養機構入住後,某日出現意識不清和嗜睡,因病情有變化趕緊送來急診,因腦室明顯腫大,經家屬同意緊急進行「腦室腹腔分流手術」,於腦室置放引流裝置並連接至腹膜腔,將蓄積多餘的腦脊髓液排出,患者病症大幅改善。

    陳志豪醫師表示,頭部外傷後腦損傷可能有諸多後遺症,其中水腦症較不被民眾了解,其成因是腦脊髓液循環阻塞或吸收異常,導致過多的腦脊髓液蓄積在腦部進而壓迫腦組織,若未及時診斷處理可能造成長期神經功能缺損。臨床表現有記憶力下降、步態不穩、意識變差、甚至大小便不順暢,若把這些症狀當作是常見的顱腦損傷後遺症,未積極就醫或醫師未警覺,腦部被多餘的腦脊髓液長時間壓迫,可能造成不可逆的神經功能缺損。

    陳志豪醫師強調,早期辨識與介入治療是改善預後的關鍵,臨床可透過電腦斷層(CT)或磁振造影(MRI)影像學判斷及病程追蹤來評估是否需進行分流手術。從臨床經驗及研究都顯示,適時進行腦脊髓液分流手術可顯著提升病人的神經功能與生活品質。此個案則是手術後才恢復清楚意識及記憶,出院時感謝醫護團隊,自述「彷彿獲得重生」,術後半年追蹤原先腫大的腦室已恢復正常大小。

    民生醫院表示,團隊秉持「醫療平權、追求卓越」的宗旨,持續精進急診及神經外科醫療量能。此案例顯示醫院在神經外科急重症處置與照護品質上具專業能量,持續守護市民健康。

    :::
    ▼關閉